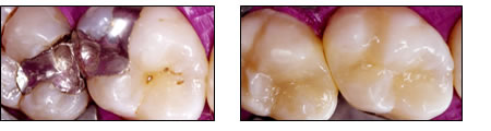
Das seit mehr als 100 Jahren verwendete Amalgam ist preisgünstig, einfach zu verarbeiten und lange haltbar. Von kontroversen Diskussionen um das Amalgam hat sicherlich jeder schon einmal gehört. Die offizielle Lehrmeinung hält sie für unbedenklich. Dennoch wird empfohlen, Amalgam nicht zu verwenden

Kunststoffe gibt es in verschiedenen Ausführungen. Ein Vorteil der Kunststofffüllungen ist die Möglichkeit, sie vollflächig an der Zahnsubstanz zu befestigen und dadurch den beschädigten Zahn zu stabilisieren. Vor allem aber lässt sich Kunststoff – im Unterschied zu Amalgam – farblich den natürlichen Zähnen perfekt anpassen. Allerdings ist der Aufwand für eine Füllung aus Kunststoff extrem hoch, weil sie in vielen einzelnen Schichten modelliert werden muss. ( zuzahlungspflichtig )

Alternativ sind Kompomere. Dieses Material ist eine Mischung aus Kunststoff und Zement. Kompomere sind nicht so stabil und langlebig wie Füllungen aus Kunststoff. Sie eignen sich für kleine Front – und sehr kleine Seitenzahnfüllungen

Inlays aus Goldlegierung, Keramik oder Kunststoff werden außerhalb des Mundes angefertigt. Das setzt voraus, dass Zahnarzt und Zahntechniker exakt und präzise zusammenarbeiten. Das bedeutet aber auch deutlich höhere Kosten als bei direkten Füllungen. Im Vergleich haben Inlays unübertroffene Vorteile: Sie sind sehr lange haltbar, biologisch gut verträglich und bieten zudem eine optimale Ästhetik. ( Privatleistung )
